照片裡有一顆牙齒是假牙冠,你看得出來嗎?
![]() |
| 假牙拿下後的支柱牙。因外傷斷裂,經過根管治療與冠心填補後修型 |
你有猜到嗎?
這是一顆將自然牙模擬得維妙維肖的全瓷牙冠對吧。
第二題來了,這張照片裡哪顆是假牙呢?
你也許有答案但不是很確定,下一張會有更多線索
這應該有機會猜中,答案是:右上正中門齒
| 這是一顆做得遠超出一般水準的陶瓷融合金屬(PFM)冠,多虧了技師。我覺得結果很好,患者也非常滿意。但牙醫師仍可以看出他是假牙 |
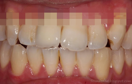
最後一題來了,這張照片中哪顆是假牙?
這題應該不是太難,下一張看起來會更簡單| 很明顯是右上正中門牙,有美觀疑慮的部分在笑開的時候是看不到的,因此患者也感到滿意。 |
前牙冠材料的選擇上大致上分成全瓷冠(第一個案例)以及傳統陶瓷融合金屬冠(第二、三案例)。材料特性的不同就造成了美觀結果的差異。
| 陶瓷融合金屬冠:內層是金屬,外層是陶瓷 |
| 全瓷冠都是由陶瓷構成 |
陶瓷融合金屬冠常有一些美觀上的挑戰:
- 牙齦邊緣透出金屬陰影(如第三例)
增加修磨的量讓陶瓷做厚一些可以改善,但就造成更多齒質減損。
- 為了遮住金屬內冠使用不透明的遮色劑(opaquer),造成牙冠中心顏色略為受影響(如第二例)。
- 金屬內冠不具透明度,而自然牙及陶瓷是會透光的,因此看起來就比較不生動逼真。
- 隨著生理或病理的牙齦萎縮後出現的金屬邊緣
| 患者既有的多年前製作陶瓷金屬冠,牙齦萎縮後露出金屬邊緣及牙根染色 |
前牙單牙冠(Single crown),雖然single,但一點都不simple:治療一顆比兩顆門牙一起做更難,治療兩顆比做四顆門牙一起做更難,以此類推。
挑戰在於你能改變的只有一顆牙齒,卻要讓它融入整個齒列,達到和諧對稱的外觀。而自然牙的結構充滿了不均勻的色塊、起伏的型態、特殊的表面紋理,不同的透明度、以及底下支柱牙是否有變色等,都增加了治療的變因。因此對醫師與技師來說,單顆反而是最複雜的。
臨床上,我們以臨時假牙或蠟型作為未來的藍圖,去逼近最終設計的外型後,需要由醫師或技師做精密的比色,再由技術精湛的技師將假牙冠製作出來。其成品經常不見得能夠在第一次試戴就命中紅心(雖然患者常會說他看不出來),經過修正後至少可以達到還不錯的結果。
一顆連我自己都難以分辨的假牙冠是令人十分雀躍的,是一個令人讚嘆的藝術作品,追求完美是牙醫師的目標與自我實現,但在如此繁複的環節中,追求100%完美的邊際效益遞減使得這件事情有時是不切實際的,畢竟牙醫師眼中的80~90分,可能是一般人眼中的99分了。以結果論來說,只要患者笑起來自然不突兀,旁人也看不出來,就是成功的治療了,而這也已經很不容易了呢。
前牙單顆全瓷冠,真是令牙醫師與牙技師又愛又恨啊。


沒有留言:
張貼留言