2020年12月7日 星期一

假牙冠設計影響牙周健康之實例

        穿了不合身的衣服,可能會造成一些不便。那裝戴了不合身的假牙冠呢?

乍看之下無異常的假牙冠,其實有許多潛藏問題。
        假牙冠最常見的其中一個問題是不密合,不密合又以型態過大比較常見,通常發生在修型不足的支柱牙(假牙的厚度有多厚,支柱牙就要修掉相對的體積,當修得不夠的時候假牙就只能做得更大顆)。過大的假牙就像戴著一頂過大的安全帽,在頭與帽體之間容易藏汙納垢,進而導致齲齒或牙周疾病。
拆除舊牙冠後可見一整圈的牙齦發炎,在兩個牙根之間也產生了「根叉侵犯」的牙周疾病。
        根叉侵犯是後牙牙周破壞中較難治療的情況,常常需要進行牙周翻瓣手術清創及牙根整形、或是牙周再生手術來解決。
給予合理外型的治療性臨時假牙冠,並進行牙根整形將無法清潔的死角去除(無翻瓣手術)與牙周清創。

經過根管重新治療後,三個月追蹤。可見正常無發炎的組織,牙周探測深度也正常。至此判斷可免去牙周翻瓣手術治療。

調整過後的支柱牙外型,讓假牙有足夠空間製作,避免了型態過大的問題。
頰側根叉處給予支柱牙正確的fluting設計。

正式假牙亦給予一相對應之外型(內面觀)。

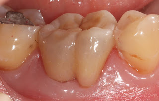
裝戴後之口內視角。
裝戴後一周追蹤。可見牙根分叉處健康飽滿的牙齦,此處現在可以用牙刷輕鬆維持清潔。

        單牙冠治療可以說是每個牙醫師的基本功,但基本不代表簡單,有許多細節決定了長期成敗。現今患者往往希望貨比三家,但治療終究不是規格化商品,能比的也只有治療費用,治療細節的差異難以為外人道,只存乎醫師心中,希望以此案例自勉之。

沒有留言:

張貼留言